Hiệp hội BAOT KOL
Michail Seldkov Sep 01, 2022

Michail Seldkov đến từ Cộng hòa Litva .

  • Thạc sĩ trong hơn 25 năm
  • Người sáng lập phòng thí nghiệm tư nhân đầu tiên ở Belarus.
  • Chủ sở hữu phòng thí nghiệm kỹ thuật số “IQ ProLab” ở Lithuania

Anh ấy là một kỹ thuật viên nha khoa xuất sắc và là một trợ giảng tuyệt vời, người đã cung cấp các lớp học tuyệt vời cho người mới bắt đầu trong BAOT.

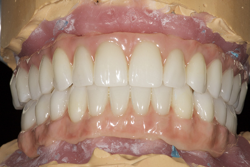
Đánh giá cao các tác phẩm của Michail Seldkov

Vật liệu phòng thí nghiệm nha khoa Bột sứ

Vật liệu phòng thí nghiệm nha khoa Bột sứ PFZ

sứ vật liệu sinh học nha khoa

bột sứ nha khoa cho phòng thí nghiệm nha khoa

để lại lời nhắn

để lại lời nhắn
Nếu bạn có thắc mắc hoặc đề xuất ,, vui lòng để lại tin nhắn cho chúng tôi , chúng tôi sẽ trả lời bạn sớm nhất có thể!

Trang Chủ

Mỹ phẩm

whatsapp